Korábban bizonyítottan SARS-CoV-2 fertőzött páciens teljes fogászati rehabilitációja digitális munkamenettel az esetleges keresztfertőzés rizikójának minimalizálására

Bevezetés

2019 végén Kínában, Vuhan tartományban jelentettek először a humán koronavírus (SARS-CoV-2) okozta tüdőgyulladásos megbetegedést, amelyet ma már inkább ARDS-ként (acute respiratory distress syndrome) emleget a szakirodalom. Azóta a járvány rapid terjedést mutat, 2020. március 11-én a WHO pandémiának nyilvánította. Európában elsősorban Olaszországban, Spanyolországban, Franciaországban és Nagy-Britanniában jelentettek tömeges megbetegedéseket és magas letalitást (több mint 25 ezer halott június elejéig). 

Magyarországon 2020.06.22-ig 4102 igazolt fertőzöttet azonosítottak, akik közül 2590-en gyógyultak és 572-en hunytak el. A becsült inkubációs idő két hét, jellemző tünetek közé tartozik a légszomj, száraz köhögés és a láz. Az egészségügyi dolgozók fokozott kockázatnak vannak kitéve, a fogorvosi szakmában dolgozók (fogorvosok, dentálhigiénikusok, asszisztensek illetve indirekt módon a fogtechnikusok) kitettsége az aeroszol és a testnedvek miatt még fokozottabb. A fogorvosi rendelő a megfelelő óvintézkedések nélkül a keresztkontamináció helyeként szolgálhat. Magyarországon az országos tisztifőorvos március közepén betiltott minden nem sürgős fogászati kezelést, amit május közepén feloldottak a megfelelő óvintézkedések betartása mellett. 

A különböző fogpótlások elkészítése nem minősül sürgős fogászati kezelésnek, azonban ezek hiányában a páciensek súlyos életminőség-romlásnak vannak kitéve mind funkcionálisan (amelynek lehetnek másodlagos következményei) mind esztétikailag (súlyos pszichés problémákat okozhat). 

A fogpótlások elkészítéséhez a szájüregi képletekről származó információt át kell adjuk a fogtechnikai laboratórium számára. Hagyományosan ez a folyamat lenyomatvétellel történik, mely lenyomatból a fogtechnikus mintát készít, majd erre elkészíti a fogpótlást. A legmodernebb intraorális szkennereknek köszönhetően ma már tökéletesen precíz digitális lenyomatot vehetünk, amellyel nem csak pontosabb eredményt érhetünk el, de a székidőt is csökkenthetjük, több időt nyerve ezáltal a két páciens közötti fertőtlenítésre és szellőztetésre . Ezen felül a digitális technológiának köszönhetően költségeinket is csökkenthetjük (elkerülhető a mintakészítés, fogtechnikai laborba történő postázása a munkának), illetve a lenyomatok általi keresztfertőzés esélye nullára redukálható. Az alábbiakban egy korábban igazolt SARS-CoV-2 fertőzött páciens esetét mutatjuk be, akinek abrázió miatt minden fogára koronát készítettünk.

Esetbemutatás

46 éves férfi páciens Bécsben él, 2 hónappal a kezelés előtt lett pozitív SARS-CoV-2-re a PCR tesztje, végig tünetmentes volt. A kezelést megelőző ismételt PCR teszt negatív lett.  Mivel minden pácienst potenciálisan fertőzöttként kell kezeljünk (függetlenül az esetleges pozitív PCR-teszttől), a megfelelő óvintézkedések mellett végeztük a beavatkozásokat: fokozott aeroszol-képződést okozó eszközök használatának minimalizálása, PPE (personal protective equipment) használata, fokozott felületfertőtlenítés és megfelelő idő kihagyása a páciensek között.

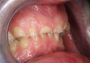
1.ábra: kiindulási kép szemből 

A páciens erős bruxáló, a fogait pár milliméteresre csikorgatta. A szájvizsgálat és a panoráma röntgen alapján cariest, lágyrész-elváltozást nem találtunk, a páciens panaszait (folyamatos érzékenység hideg-meleg ingerekre, savakra) a nagymértékben abradált fogazat okozta. A megsüllyedt harapási magasság és a 2-3 milliméteresre csikorgatott frontfogak miatt teljes szájrehabilitációt javasoltunk 28 darab full contour cirkónium koronával. 

2.ábra: kiindulási mosoly szemből

 

 

3., 4.ábra: kiindulási szituáció oldalról és szemből

Az anyag rendkívüli keménysége és a nagyfokú harapásemelés végett (különös figyelmet fordítva a helyes fogsorzáródás kialakítására, megelőzve így az esetleges további TMI-ízületi károsodást) a kezelést két lépésben végeztük el. 

Elsőként a tanulmányi minták és a kiindulási fotók elkészítése után a fogakat 3D nyomtatott ideiglenes PMMA hidakhoz készítettük elő. Az arcíves regisztrálás, a támasztócsapos harapásvétel (a támasztócsapos regisztráció során rögzített állcsont-relációt intraorális scanner segítségével digitalizáltuk és továbbítottuk a labor részére) és a DiOS 4.0 intraorális scannerrel vett alsó és felső digitális lenyomatok alapján a fogtechnikai laboratóriumtól mindkét állcsonton 3-3 részre szeparált ideiglenes hidakat kaptunk, melyeket az okklúzió és artikuláció korrekciója után non-eugenol ideiglenes ragasztócementtel (TempBond) rögzítettünk. A digitális munkamenetnek köszönhetően a teljes székidőt a korábbi átlaghoz képest 20%-kal sikerült csökkenteni.

 

 

5.ábra: mosoly az ideiglenes hidakkal

6.ábra: occlusio az ideiglenes hidakkal oldalról

7.ábra: occlusio az ideiglenes hidakkal szemből

 

A hagyományos fogászati lenyomatok fertőtleníthetők beáztatással vagy spray segítségével. A poliéter és irreverzibilis hidrokolloidok anyagok nagyobb eséllyel deformálódhatnak beáztatás után, valamint plusz időt és extra költséget jelentenek. Számos tanulmány számol be a fogtechnikai laborba érkező lenyomatokon található fertőző ágensekről. A digitális lenyomatvétellel nyert scannelt adatből egy STL filet generálunk, amit azonnal továbbíthatunk a fogtechnikus számára, aki az STL-file alapján digitálisan tervezi és készíti el a fogpótlásokat. Így az esetleges keresztfertőzések kialakulásának esélyét minimalizálni tudjuk.

Minden intraorális szkenner más, minden gyártó más eljárásokat javasol a fejek fertőtlenítésre/sterilizálására. A DiOS 4.0 gyártója a fej szappanos vízzel és nedves kendővel történő előzetes tisztítását javasolja. A megfelelően csomagolt fej autoklávozható 121-on (249.8°F) 30 percig és azt követően 15 percig szárítva. A tükröt és a fejet etanolon vagy propanolon kívül másféle fertőtlenítővel tilos áttörölni.

Az eredetileg 3 hónaposra tervezett 2. etap a koronavírus okozta leállás miatt kissé hosszabbra sikeredett, így a páciens nagyjából 4,5 hónapig viselte az ideiglenes hidakat. A TMI-ízület panaszmentes volt, ahogyan a rágó- és tartóizmokban sem jelentkezett fájdalom.

A második fázis során a tanulmányi digitális lenyomatok elkészítése után a preparáció széleit letisztáztuk, újabb arcíves regisztrálás, támasztócsapos alsó-felső állcsontreláció-meghatározás és digitális lenyomat készült. 

 

 

8.ábra: intraorális scan az alsó állcsontról

 

 

9.ábra: introrális scan a felső állcsontról

 

10.ábra: támasztócsapos regisztrátum szájban

 

11.ábra: intraorális scan a támasztócsapos regisztrátummal az alsó-felső állcsontrelációról

 

12.ábra: arcíves regisztráció

 

Mivel full contour cirkónium koronákat készítettünk, vázpróbára nem volt lehetőség a széli záródás és az okkluzió ellenőrzése végett. Így a fogtechnika újabb 3D nyomtatott PMMA-hidat készített, mellyel mind az okkluziót, mint a széli záródást ellenőrizni tudtuk. 

Az okklúzió kismértékű korrekciója után digitálisan, az ideiglenes hidakkal szájban új intraorális scant készítettünk az alsó-felső állcsontok relációjáról, ez alapján a digitális harapás alapján a labor el tudta készíteni az új koronákat. 

A csonkok mérete miatt az alsó és felső állcsonton is a nagy-és kismetsző fogakat mindkét oldalon összesíneztük (tehát 11-12, 21-22, 31-32, 41-42 sínek készültek egyben), a többi csonk ellátása szóló koronákkal történt, melyeket műgyantával erősített üvegionomer ragasztócementtel (FujiPlus) rögzítettünk.

 

13.ábra: végleges koronákkal mosoly szemből

14.ábra: végleges occlusio oldalról

15.ábra: végleges occlusio szemből

16.ábra: átadás utáni szituáció szemből

 

Megbeszélés

A koronavírus-járvány alatt javasolt, hogy a kezelőszemélyzet védőfelszerelést viseljen, amely védi a szem, a száj és az orr nyálkahártyáját kezelés közben. A rendelő összes felületét gondosan fertőtleníteni kell a páciensek között. A fokozott aeroszol képződéssel járó kezeléseket (turbina, ultrahangos depurátor használata) továbbra is kerülni kell, vagy a rendelés legvégére időzíteni. 

A teljes digitális munkamenetnél a keresztkontamináció csak a rendelőn belül lehetséges, ami megfelelő protokollal megelőzhető. A digitális fogászat csökkenti a kezelések számát és azok hosszát, valamint jó pár hibalehetőséget ki tudunk iktatni a munkafolyamatainkból. Véleményünk szerint minden lehetséges esetben érdemes a digitális fogászat adta előnyöket kihasználni, különösen igaz ez a jelenlegi járvány alatt.